A decisão pela cirurgia deve ser individualizada e baseada em três pilares principais: intensidade da dor, limitação funcional e impacto na qualidade de vida.
Ler notícia completa no site do autor ↗️Artrose no quadril: esperar demais pode comprometer o resultado da cirurgia?
Publicado em: Por: Jornal Pequeno
Sentimento por Entidade:
-
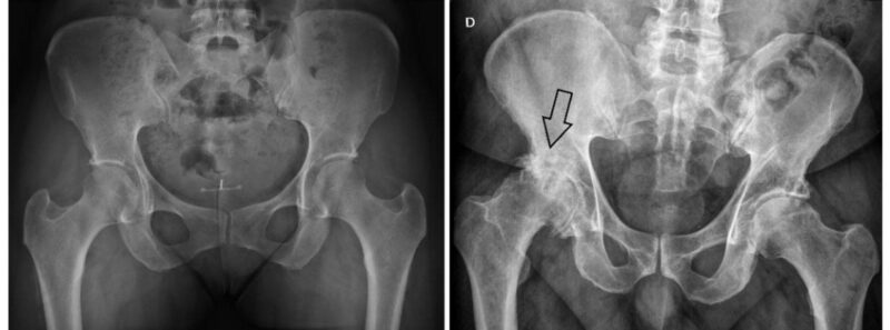
artrose do quadril
A artrose é descrita como uma doença degenerativa progressiva com consequências negativas na qualidade de vida e na recuperação cirúrgica.
-
prótese total de quadril
A prótese total de quadril é apresentada como uma cirurgia extremamente eficaz, com altos índices de satisfação e melhora significativa, mas o texto ressalta que os resultados são melhores quando realizada no momento certo, evitando o adiamento.
-
Sentimento Geral
O texto tem um tom predominantemente informativo e de alerta. Embora apresente a cirurgia como uma solução eficaz, o foco principal é nos riscos e comprometimentos que o adiamento da intervenção pode causar, o que confere um tom levemente negativo ao tema geral de 'esperar demais'.
- Muito Positivo
- Positivo
- Neutro
- Negativo
- Muito Negativo